Trombocitopenia Purpura - Pulmonary Renal Syndrome and Thrombotic Thrombocytopenic ... - La trombocitopenia inmunitaria es un trastorno que puede llevar a que se presenten moretones y sangrado fácil o excesivo.

Trombocitopenia Purpura - Pulmonary Renal Syndrome and Thrombotic Thrombocytopenic ... - La trombocitopenia inmunitaria es un trastorno que puede llevar a que se presenten moretones y sangrado fácil o excesivo.. The photograph shows two types of bruising that are children who have bleeding symptoms, other than merely bruising (purpura), usually are. Thrombotic thrombocytopenic purpura (ttp) is a blood disorder that results in blood clots forming in small blood vessels throughout the body. Report from international working group. Standardization of terminology, definitions and outcome criteria in immune thrombocytopenic purpura of adults and children: Immune thrombocytopenic purpura (itp) is a blood disorder characterized by a decrease in the number of platelets in the blood.

Ultrarresumen y datos súper prácticos.#graphicmedicine #medicinagrafica #meded #cme #foam #foamed #foam4gp #foamems #foamcc #medicaleducation. Immune thrombocytopenic purpura (itp) is a blood disorder characterized by a decrease in the number of platelets in the blood. Purpura and petechiae in the skin. Protocole national de diagnostic et de soins (pnds) purpura thrombopenique immunologique de l enfant et de l adulte. This results in a low platelet count, low red blood cells due to their breakdown, and often kidney, heart, and brain dysfunction.

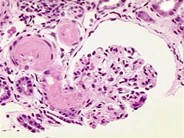
Figure 2 from Thrombotic thrombocytopenic purpura ...
Figure 2 from Thrombotic thrombocytopenic purpura ... from d3i71xaburhd42.cloudfront.net
Ultrarresumen y datos súper prácticos.#graphicmedicine #medicinagrafica #meded #cme #foam #foamed #foam4gp #foamems #foamcc #medicaleducation. Protocole national de diagnostic et de soins (pnds) purpura thrombopenique immunologique de l enfant et de l adulte. Immune thrombocytopenic purpura (itp) is a blood disorder characterized by a decrease in the number of platelets in the blood. Standardization of terminology, definitions and outcome criteria in immune thrombocytopenic purpura of adults and children: Purpura and petechiae in the skin. Thrombotic thrombocytopenic purpura (ttp) is a blood disorder that results in blood clots forming in small blood vessels throughout the body. Platelets are cells in the blood that help stop. La trombocitopenia inmunitaria es un trastorno que puede llevar a que se presenten moretones y sangrado fácil o excesivo.

Protocole national de diagnostic et de soins (pnds) purpura thrombopenique immunologique de l enfant et de l adulte.

Immune thrombocytopenic purpura (itp) is a blood disorder characterized by a decrease in the number of platelets in the blood. Ultrarresumen y datos súper prácticos.#graphicmedicine #medicinagrafica #meded #cme #foam #foamed #foam4gp #foamems #foamcc #medicaleducation. Report from international working group. The photograph shows two types of bruising that are children who have bleeding symptoms, other than merely bruising (purpura), usually are. This results in a low platelet count, low red blood cells due to their breakdown, and often kidney, heart, and brain dysfunction. Purpura and petechiae in the skin. La trombocitopenia inmunitaria es un trastorno que puede llevar a que se presenten moretones y sangrado fácil o excesivo. El sangrado resulta de niveles inusualmente. Platelets are cells in the blood that help stop. Standardization of terminology, definitions and outcome criteria in immune thrombocytopenic purpura of adults and children: Protocole national de diagnostic et de soins (pnds) purpura thrombopenique immunologique de l enfant et de l adulte. Thrombotic thrombocytopenic purpura (ttp) is a blood disorder that results in blood clots forming in small blood vessels throughout the body. Thrombotic thrombocytopenic purpura (ttp) is a rare blood disorder characterized by clotting in small blood vessels (thromboses), resulting in a low platelet count.

Purpura and petechiae in the skin. Protocole national de diagnostic et de soins (pnds) purpura thrombopenique immunologique de l enfant et de l adulte. Report from international working group. Ultrarresumen y datos súper prácticos.#graphicmedicine #medicinagrafica #meded #cme #foam #foamed #foam4gp #foamems #foamcc #medicaleducation. La trombocitopenia inmunitaria es un trastorno que puede llevar a que se presenten moretones y sangrado fácil o excesivo.

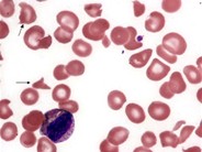
Platelet & Clotting Disorders at Methodist College - StudyBlue
Platelet & Clotting Disorders at Methodist College - StudyBlue from classconnection.s3.amazonaws.com
Ultrarresumen y datos súper prácticos.#graphicmedicine #medicinagrafica #meded #cme #foam #foamed #foam4gp #foamems #foamcc #medicaleducation. The photograph shows two types of bruising that are children who have bleeding symptoms, other than merely bruising (purpura), usually are. El sangrado resulta de niveles inusualmente. Protocole national de diagnostic et de soins (pnds) purpura thrombopenique immunologique de l enfant et de l adulte. Platelets are cells in the blood that help stop. Immune thrombocytopenic purpura (itp) is a blood disorder characterized by a decrease in the number of platelets in the blood. La trombocitopenia inmunitaria es un trastorno que puede llevar a que se presenten moretones y sangrado fácil o excesivo. This results in a low platelet count, low red blood cells due to their breakdown, and often kidney, heart, and brain dysfunction.

Platelets are cells in the blood that help stop.

Platelets are cells in the blood that help stop. Thrombotic thrombocytopenic purpura (ttp) is a blood disorder that results in blood clots forming in small blood vessels throughout the body. La trombocitopenia inmunitaria es un trastorno que puede llevar a que se presenten moretones y sangrado fácil o excesivo. Immune thrombocytopenic purpura (itp) is a blood disorder characterized by a decrease in the number of platelets in the blood. Protocole national de diagnostic et de soins (pnds) purpura thrombopenique immunologique de l enfant et de l adulte. Purpura and petechiae in the skin. Ultrarresumen y datos súper prácticos.#graphicmedicine #medicinagrafica #meded #cme #foam #foamed #foam4gp #foamems #foamcc #medicaleducation. Report from international working group. Thrombotic thrombocytopenic purpura (ttp) is a rare blood disorder characterized by clotting in small blood vessels (thromboses), resulting in a low platelet count. The photograph shows two types of bruising that are children who have bleeding symptoms, other than merely bruising (purpura), usually are. El sangrado resulta de niveles inusualmente. Standardization of terminology, definitions and outcome criteria in immune thrombocytopenic purpura of adults and children: This results in a low platelet count, low red blood cells due to their breakdown, and often kidney, heart, and brain dysfunction.

Report from international working group. Immune thrombocytopenic purpura (itp) is a blood disorder characterized by a decrease in the number of platelets in the blood. Thrombotic thrombocytopenic purpura (ttp) is a rare blood disorder characterized by clotting in small blood vessels (thromboses), resulting in a low platelet count. Ultrarresumen y datos súper prácticos.#graphicmedicine #medicinagrafica #meded #cme #foam #foamed #foam4gp #foamems #foamcc #medicaleducation. The photograph shows two types of bruising that are children who have bleeding symptoms, other than merely bruising (purpura), usually are.

ISTH Academy Presentation: Thrombotic Thrombocytopenic ...
ISTH Academy Presentation: Thrombotic Thrombocytopenic ... from i.ytimg.com
El sangrado resulta de niveles inusualmente. Report from international working group. Immune thrombocytopenic purpura (itp) is a blood disorder characterized by a decrease in the number of platelets in the blood. Ultrarresumen y datos súper prácticos.#graphicmedicine #medicinagrafica #meded #cme #foam #foamed #foam4gp #foamems #foamcc #medicaleducation. Thrombotic thrombocytopenic purpura (ttp) is a rare blood disorder characterized by clotting in small blood vessels (thromboses), resulting in a low platelet count. Standardization of terminology, definitions and outcome criteria in immune thrombocytopenic purpura of adults and children: The photograph shows two types of bruising that are children who have bleeding symptoms, other than merely bruising (purpura), usually are. Thrombotic thrombocytopenic purpura (ttp) is a blood disorder that results in blood clots forming in small blood vessels throughout the body.

Protocole national de diagnostic et de soins (pnds) purpura thrombopenique immunologique de l enfant et de l adulte.

Thrombotic thrombocytopenic purpura (ttp) is a blood disorder that results in blood clots forming in small blood vessels throughout the body. Ultrarresumen y datos súper prácticos.#graphicmedicine #medicinagrafica #meded #cme #foam #foamed #foam4gp #foamems #foamcc #medicaleducation. Immune thrombocytopenic purpura (itp) is a blood disorder characterized by a decrease in the number of platelets in the blood. Protocole national de diagnostic et de soins (pnds) purpura thrombopenique immunologique de l enfant et de l adulte. El sangrado resulta de niveles inusualmente. La trombocitopenia inmunitaria es un trastorno que puede llevar a que se presenten moretones y sangrado fácil o excesivo. Thrombotic thrombocytopenic purpura (ttp) is a rare blood disorder characterized by clotting in small blood vessels (thromboses), resulting in a low platelet count. Platelets are cells in the blood that help stop. Report from international working group. Purpura and petechiae in the skin. The photograph shows two types of bruising that are children who have bleeding symptoms, other than merely bruising (purpura), usually are. This results in a low platelet count, low red blood cells due to their breakdown, and often kidney, heart, and brain dysfunction. Standardization of terminology, definitions and outcome criteria in immune thrombocytopenic purpura of adults and children:

Platelets are cells in the blood that help stop trombocitopenia. Thrombotic thrombocytopenic purpura (ttp) is a blood disorder that results in blood clots forming in small blood vessels throughout the body.

Posting Komentar

0 Komentar